SEE ALSO
Communicable Diseases
Infectious Diseases & Outbreaks
Waterborne Diseases
NEED HELP?
Having trouble finding what you are looking for? Use our A to Z Index.
Signs and Symptoms
People who get sick after being exposed to Legionella can develop two different illnesses, collectively known as legionellosis: Legionnaires’ disease and Pontiac fever.
Legionnaires’ Disease
Legionnaires’ disease is very similar to other types of pneumonia (lung infection), with symptoms that include:
- Cough
- Shortness of breath
- Fever
- Muscle aches
- Headaches
Legionnaires’ disease can also be associated with other symptoms such as diarrhea, nausea, and confusion. Symptoms usually begin 2 to 14 days after exposure to the bacteria but can take longer.
If you develop pneumonia symptoms, see a doctor right away. Be sure to mention if you may have been exposed to Legionella, have used a hot tub, spent any nights away from home, or stayed in a hospital in the last two weeks.
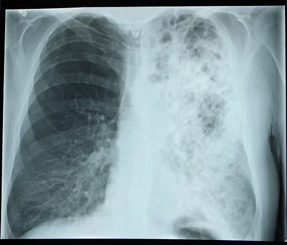
The image above is an X-ray showing lungs with Legionnaire's disease. Legionnaires' disease often looks similar to a chest X-ray to other types of pneumonia.
Pontiac Fever
Pontiac fever is a milder infection than Legionnaires’ disease. Symptoms are primarily fever and muscle aches. Symptoms can begin a few hours to 3 days after exposure to the bacteria. Symptoms usually last less than a week. Pontiac fever is different from Legionnaires’ disease because someone with Pontiac fever does not have pneumonia.
Page last updated: September 5, 2023
SEE ALSO
Communicable Diseases
Infectious Diseases & Outbreaks
Waterborne Diseases
NEED HELP?
Having trouble finding what you are looking for? Use our A to Z Index.


